Skip to main content

Healthcare

Industry Challenges in Healthcare AI

How rProcess Supports the Healthcare Ecosystem

We provide specialized text and visual annotation services that support clinical decision systems, chatbots and healthcare document processing.

Annotation Services for Healthcare

Text Annotation
Text Annotation
  • Medical chatbot training
  • Patient intent classification
  • Symptom extraction & triage tagging
  • Terminology normalization & entity extraction
Image & Video Annotation
Image & Video Annotation
  • Cell annotations to detect cancerous cells 
  • Medical content tagging for educational datasets
  • Surgical equipment’s annotation

Why Choose rProcess?

Accuracy You Can Trust in Regulated Healthcare Environments

Our domain-aware teams deliver precise annotations that support clinical workflows requiring exceptional reliability.

Strict Governance & High‑Compliance Workflows

We operate with strong data governance designed to meet the sensitivity and privacy demands of healthcare organizations.

Medical‑Specialized Annotation Teams

Annotators trained in medical terminology and clinical content ensure integrity across text and visual healthcare datasets.

Scalable for Large Clinical & Administrative Data Pipelines

We support continuous ingestion of high-volume healthcare documents, records, and media with stable quality.

Healthcare Case Studies

Accurate annotation of ultrasound images is crucial for analyzing optic nerve head and retinal nerve fiber layers. The challenge was handling high-volume data while ensuring consistent polyline accuracy across all images.

  • Applied 2D annotation with polyline techniques for detailed layer mapping.
  • Ensured high annotation precision with quality checks.
  • Delivered scalable annotation support for ophthalmology analysis.
  • Successfully annotated 20k–25k ultrasound images for optic nerve head and RNFL analysis.
  • Completed annotations with an average of 3 minutes per image, ensuring timely delivery.
  • Delivered with 98% accuracy, meeting healthcare precision requirements.
Before image alt After image alt

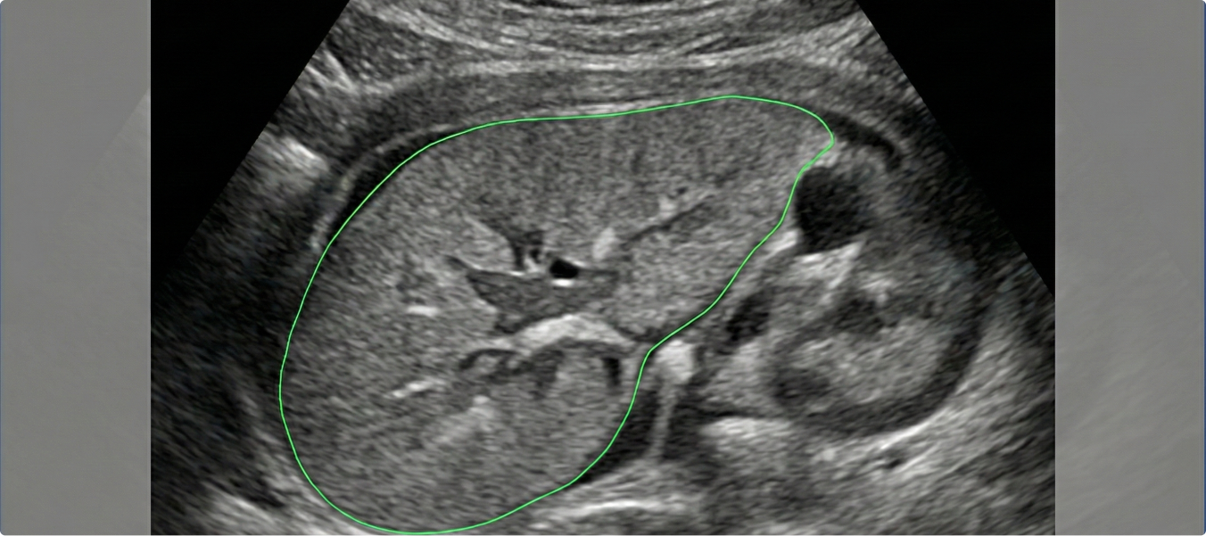
For healthcare automation, high-accuracy polyline annotations were required on ultrasound-based MRI datasets. The main challenge was ensuring precision while maintaining speed across medical images.

  • Used 2D polyline annotation for precise boundary mapping.
  • Applied strict QA measures to maintain near-perfect accuracy.
  • Supported automation goals for healthcare AI models.
  • Annotated a total of 1,000 ultrasound MRI images with precise details.
  • Average annotation time was 3 minutes per image, enabling efficient throughput.
  • Achieved 98.7% accuracy, delivering near-perfect datasets for automation.
Before image alt After image alt

Mapping vasculature in microscopy images required highly detailed semantic annotations. The challenge was balancing speed with precision for thousands of complex images.

  • Used semantic 2D annotation for vessel structure mapping.
  • Maintained annotation precision with iterative quality checks.
  • Delivered large-scale dataset annotation.
  • Annotated 15k microscopy images focused on vasculature.
  • Each image required an average of 30 minutes, reflecting annotation complexity.
  • Delivered results with 95% accuracy, ensuring detailed vascular mapping.
Before image alt After image alt

Microscopy images of Caliban cells required semantic segmentation, which is highly time-intensive. The challenge was handling extremely detailed data while maintaining accuracy.

  • Applied semantic 2D annotation for detailed cellular segmentation.
  • Ensured robust QC for consistency across large datasets.
  • Supported biomedical research and AI model training.
  • Completed annotations for 50k microscopy images of Caliban cells.
  • Each annotation required about 1 hour per image, reflecting dataset complexity.
  • Achieved 95% accuracy, ensuring precise cell segmentation.
Before image alt After image alt

Build Smarter, Compliant Healthcare AI With High‑Quality Training Data